안녕하세요.
서울하늘에치과 대표원장 박민우입니다.
오늘은 연세가 많아
임플란트 치료를 망설이셨던
86세 어머님의 실제 치료 케이스를
소개해드리려 합니다.
“내 나이에 임플란트가 가능할까요?”
“윗니랑 아랫니 공간이 거의 없는데도 될까요?”
환자 분께서는
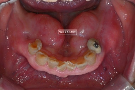
아래 양쪽 어금니가 오래전부터 없는 상태였고
앞니는 부러져 식사가 불편하셨으며,
오랜 기간 치아가 없었던 영향으로
위아래 치아 공간이 거의 사라진 상태였습니다.
또한 연세가 많으시고,
안산에서 서울까지 이동해야 하는 거리적인 부담 때문에
치료를 시작하기 전
보호자분과 함께 많은 고민을 하셨습니다.
실제로 동네 치과에서도
“공간이 너무 부족해 임플란트가 어렵다”는
이야기를 들으신 뒤
더 망설이게 되셨다고 합니다.





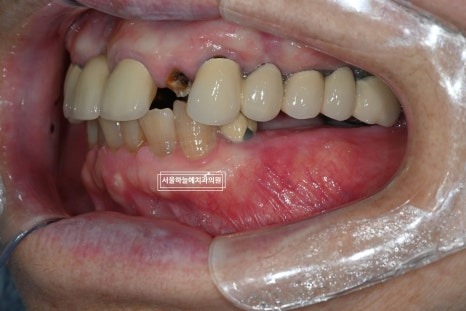
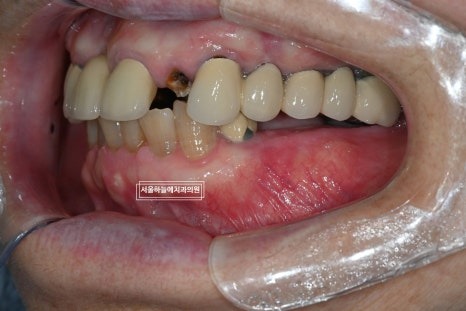
처음 내원 시 상태
처음 내원 당시 엑스레이와 구강 상태를 보면
앞니는 파절되어 있었고
아래 어금니가 없는 기간이 길어
위 치아와 잇몸이 맞닿을 정도로 공간이 부족,
아래 앞니 역시 심하게 마모된 상태였습니다.
이러한 경우에는
단순히 임플란트만 심는 것이 아니라
교합(위아래 맞물림) 전체를 고려한
치료 계획이 필요합니다.
어머님의 상태를 종합적으로 고려하여
다음과 같은 단계적 치료 계획을 세웠습니다.
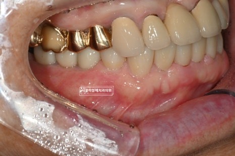
앞니 부위 임플란트 1개 식립
아래 양쪽 어금니 부위 임플란트 각 2개 식립
마모가 심한 아래 앞니는
크라운 치료를 통해 교합 높이 조정
이후 아래 어금니 임플란트 보철물 장착
위아래 공간이 매우 부족한 상태였기 때문에
무리한 진행보다는
1차 수술만 먼저 진행하기로 하였고,
환자의 회복을 돕기 위해
포인트 자외선 임플란트를 선택하셨습니다.


앞니 임플란트 & 당일 임시치아
부러진 앞니는 발치 후 임플란트 고정체를 식립하였고,
앞니는 심미적인 이유로 수술 당일 임시치아를 바로 장착해드렸습니다.
앞니가 비어 있는 상태는
환자분의 일상과 자신감에
큰 영향을 주기 때문에
저희는
가능한 한 당일 또는 다음 날 임시치아 제공을
원칙으로 하고 있습니다.
자체 기공소를 보유하고 있어
이러한 빠른 대응이 가능하며,
환자분들의 만족도 또한 매우 높은 편입니다.

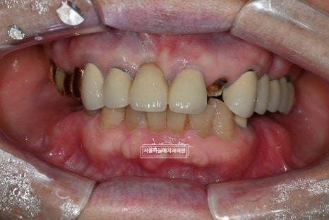
수술 후 약 1개월 반 정도 지난 뒤
아래 앞니 크라운 치료를 먼저 진행해 교합을 안정시킨 후
임플란트 2차 수술을 진행했습니다.
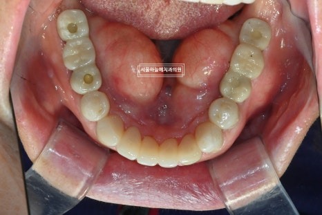
보철 제작 과정에서는
3D 구강스캐너를 이용해
디지털 스캔을 진행했는데,
환자분께서
“예전에 인상재로 본뜨던 것보다 훨씬 편하다”고
말씀해주셨습니다.

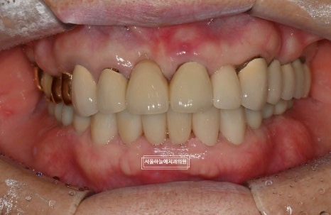
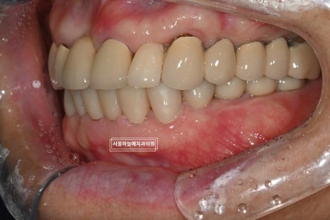
최종적으로 위아래 앞니
아래 양쪽 어금니 임플란트 보철까지
모두 안정적으로 마무리되었습니다.
처음에는 약 4~5개월 정도의
치료 기간을 예상했지만,
회복 상태가 좋아
약 3개월 반 만에 치료를 완료할 수 있었습니다.
처음 내원 당시와 비교하면
교합, 기능, 심미 모두에서 큰 변화가 있었고
무엇보다 환자분께서
편하게 식사하실 수 있게 되었다는 점이
가장 의미 있었습니다.










안산에서 지하철을 타고
내원하셔야 했던 환자분은
“생각보다 치료가 빨리 끝나서 좋다”며
매우 만족해주셨습니다.
보호자분께서도 직접 후기를 남겨주셨는데,
어머님의 변화에 함께 기뻐하시는 마음이
고스란히 전해져
저희 의료진 역시 큰 보람을 느꼈습니다.



임플란트 치료는
나이보다 ‘상태’가 중요합니다.
연세가 많다고 해서,
공간이 부족하다고 해서
무조건 불가능한 것은 아닙니다.
정확한 진단과 경험,
그리고 환자분의 상황을 충분히 고려한
치료 계획이 있다면
충분히 도와드릴 수 있는 경우도 많습니다.
그동안 식사하시느라 많이 불편하셨을 텐데
이제는 편안하게, 맛있는 음식도
마음껏 드시길 바랍니다.
| 번호 | 제목 | 글쓴이 | 날짜 | 조회 수 |
|---|---|---|---|---|
| 9 |
치과에서 절대 말해주지 않는다는 가성비 치료, 잇몸치료
| admin | 2026.01.19 | 12 |
| 8 |
성공적인 임플란트 치료를 위한 수술 후 주의사항
| admin | 2026.01.19 | 5 |
| 7 |
하루만에 임플란트 치료, 가능한가요?
| admin | 2026.01.19 | 8 |
| 6 |
90대도 전체 임플란트 재수술 가능한가요?
| admin | 2026.01.19 | 10 |
| 5 |
앞니가 부러졌어요, 임플란트 가능한가요?
| admin | 2026.01.19 | 8 |
| 4 |
임플란트 치료 기간, 어떻게 지내야하나요?
| admin | 2026.01.19 | 7 |
| 3 |
수면으로 충치 치료 하루에 가능한가요?
| admin | 2026.01.19 | 10 |
| 2 |
당뇨, 고혈압인데도 임플란트 가능한가요?
| admin | 2026.01.19 | 12 |
| » |
86세인데 임플란트 가능한가요?
| admin | 2026.01.19 | 2 |