안녕하세요.
서울하늘에치과 대표원장
박민우 입니다.
제목이 어떤가요?
요즘 동영상 채널에서 유행할 것 같은
제목을 지어봤는데요.
요즘 어디에나 치과 광고가 참 많죠?
많은 정보들이 환자분께 도움이 된다면 좋겠지만,
과도하게 많은 정보의 홍수는
오히려 환자분들을 혼란스럽게
만드는 것이 아닐까 걱정되기도 합니다.

반면에 어떤 내용들은
환자분들이 아시면 참 도움될텐데 생각하지만
난무하는 가격 비교와 광고 속에 묻혀
환자분께 닿기가 어렵습니다.
오늘은 그런 중요한 내용 중의 하나인
'잇몸치료'에 대해서
말씀드려볼까 합니다.
다른 과 병원들처럼
치과에서 하는 진료에는
건강보험에 해당하는 '급여진료'와
보험에 해당하지 않고 비용이 자율적인
'비급여진료'가 있습니다.
건강보험에 해당하는 치료들은
마치 '필수의료'처럼 건강을 지키기 위해
꼭 필요한 치료,
비용이 많이 발생하지 않으면서
누구나 받아야 하는 치료라고
생각할 수 있겠는데요.
그 중의 하나는
여러분들이 잘 알고 계시는
'스케일링'이 있겠구요.
스케일링은 잇몸 위 치아에 붙은 치석을
제거하는 치료인데요.

치석은 치태라고 하는 세균 덩어리가 석회화되어
단단하게 된 것으로, 거친 표면으로 더 많은 세균이
달라붙으며 점점 커지게 됩니다.
치석을 제 때에 제거하지 못하면
잇몸에 염증(치주염)을 일으키고,
이러한 잇몸의 염증때문에
잇몸이 붓고, 피가 나거나
심한 경우 고름주머니가 생기기도 합니다.

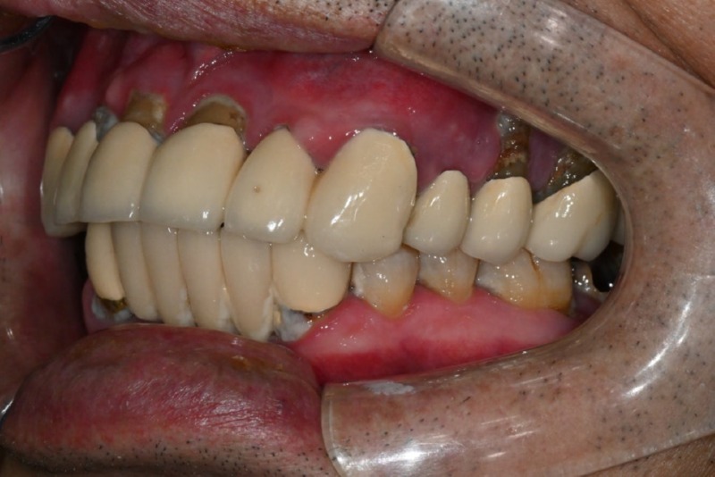
잇몸 염증으로 잇몸이 내려가 치아 뿌리가 드러난 모습
또 이러한 치석은 치아와 잇몸 사이의 틈으로
파고 들어가서 커지면서 깊은 염증을 만들고

계속 방치하면
치아 뿌리를 붙잡고 있는 잇몸뼈를 녹이고,
결국은 치아가 흔들리게 됩니다.
나이가 들 수록 충치보다는
이러한 잇몸의 염증으로 인해
치아를 잃게 되는 경우가 더 많은데요.

이러한 치주염(잇몸 염증)은
2021년에는 전체 건강보험 진료중에서
감기(급성기관지염)보다도
더 많은 병원 방문을 초래하기도 하는
치과 분야의 불명예스러운 1위가
되기도 하였습니다.
'잇몸치료'는
이러한 잇몸 밑의 치석(치은 연하 치석)을 제거하여
잇몸 염증을 치료하는 것으로,

치아 뿌리를 매끈하게 하여 이후에도
치석이 더 달라붙기 힘들게 만드는 예방 효과도
가지고 있습니다.
자기 치아를 살리는 치료에
가장 큰 역할을 한다고 할 수 있는데요.
잇몸치료에 대해서는 다음의 글도
참고하시면 좋겠습니다.
이렇게 좋은 잇몸 치료는
앞서 말씀드린 바와 같이
건강보험이 적용되기 때문에
비용도 다른 진료에 비하면 크지 않습니다.
누구나 받아야 하는 좋은 치료,
필수적인 치료이기 때문에
건강보험으로 지원해주는 치료이구요.
크라운, 인레이와 같은 치료에서처럼
본을 뜨고 여러 번 내원해야 하는 것도 아니구요.
그런데 왜
치과에서는 왜 먼저 말해주지 않을까요?
환자분을 위한 치료인 것은 알지만,
마취하면서 환자분을 아프게 하기도 하고,
치아가 깨끗해지는 장기적인 장점보다
당장 시린 느낌이 더 불편하게 느껴진다고
하실 수도 있습니다.
또 웬만큼 잇몸이 안좋아진 치아는
굳이 살리려고 노력하여 고생하는 것보다
발치 후 임플란트 치료를 하는 것이
더 쉽고
치과의 경영에 도움이 될 수는 있습니다.
사실 저도 같은 치과의사로써 부끄럽지만
치과에서는 그 동안 '비급여(비보험)'라고 하는
치료비가 높은 보철, 임플란트, 교정 치료 등에
집중하였었습니다.

임플란트, 교정, 보철치료
이러한 치료들이 잘못된 것은 절대 아니지만
대부분 문제가 생기고 난 후 해결하는 치료여서
치아 우식(충치), 치주염(잇몸 염증) 등의
질병을 예방하는 치료는
중요하지만 등한시 되었던 것이 사실이구요.
치료비가 높지 않은 잇몸 치료를 할 시간에
다른 비보험 치료를 하는 기회 비용을 생각하여,
진정 환자분을 위할 수 있는
잇몸치료, 예방치료는 소홀했던 것이 사실입니다.
모든 치과가 그런 것은 당연히 아니고,
그래도 많은 뜻있는 치과의사들은
환자분들의 구강 건강을 위해
묵묵히, 꾸준히 예방 치료를 시행하고 있습니다.
물론
'환자 중심의 치과진료'를 지향하는
저희 서울하늘에치과에서도
항상 환자분들의 구강건강을 중심으로 생각하기에
세밀한 검사와 진단을 통해 필요한 경우
잇몸치료를 적극 권해드리고 있습니다.
스케일링과 잇몸치료로는
치과가 절대 부자가 될 수 없습니다.
그럼에도 여러가지 불편함을 설득하면서도
스케일링과 잇몸치료를 권유한다?
여러분의 구강건강을 진심으로 생각하는
치과일 확률이 높습니다.
저도 같은 치과의사이지만
좋은 치과라고 추천드리고 싶네요.
이상 서울하늘에치과
대표원장 박민우 였습니다.
감사합니다.
| 번호 | 제목 | 글쓴이 | 날짜 | 조회 수 |
|---|---|---|---|---|
| » |
치과에서 절대 말해주지 않는다는 가성비 치료, 잇몸치료
| admin | 2026.01.19 | 12 |
| 8 |
성공적인 임플란트 치료를 위한 수술 후 주의사항
| admin | 2026.01.19 | 5 |
| 7 |
하루만에 임플란트 치료, 가능한가요?
| admin | 2026.01.19 | 8 |
| 6 |
90대도 전체 임플란트 재수술 가능한가요?
| admin | 2026.01.19 | 10 |
| 5 |
앞니가 부러졌어요, 임플란트 가능한가요?
| admin | 2026.01.19 | 8 |
| 4 |
임플란트 치료 기간, 어떻게 지내야하나요?
| admin | 2026.01.19 | 7 |
| 3 |
수면으로 충치 치료 하루에 가능한가요?
| admin | 2026.01.19 | 10 |
| 2 |
당뇨, 고혈압인데도 임플란트 가능한가요?
| admin | 2026.01.19 | 12 |
| 1 |
86세인데 임플란트 가능한가요?
| admin | 2026.01.19 | 2 |