안녕하세요.
서울하늘에치과 원장 박민우 입니다.
'이가 없으면 잇몸으로 산다'는 옛말이 있습니다.
하지만 정말 옛말은 옛말일 뿐,
이제는 의료의 발전으로
'잇몸이 없어도 임플란트로 산다'는 것이
가능한 시대가 되었습니다.
임플란트 기술이 많이 발전해서
치료가 매우 편해졌지만,
임플란트는 치아가 없는 곳에 하는 치료이기에
임플란트를 하게 되는 것은
결코 좋은 일은 아닐 것입니다.
특히 젊은 분들은 치아를 빼야 하는 상황을
거의 생각해보시지 못할텐데,
주로 치아 상실의 원인이 되는
치아 우식(충치), 치아 균열, 치주 질환(잇몸 질환) 등은
시간에 따라 누적되어 발생 확률이
높아질 것이기 때문입니다.
하지만 예상치 못한 사고로
충격을 받은 치아가 상실되는 것은
나이, 성별, 평소 치아 건강 관리 여부와
상관없이 찾아올 수 있고,
특히 앞니는 구강내에서도 이러한 물리적 충격에
취약한 위치에 있습니다.
앞니는 상실될 경우
심리적 충격도 매우 크고,
치료의 난이도도 높은 편이기 때문에
치과의사인 저도 치과 치료 중
제일 피하고 싶은 상황은
앞니를 빼게 되는 것 아닐까 싶습니다.(절대..)
"길에서 넘어져서 앞니를 부딪혔어요."
젊은 직장인 환자분이
위와 같은 주소로 내원하셨습니다.
넘어지면서 앞니쪽을 부딪히는 경우,
여러 개의 치아가 손상될 수도 있기 때문에
앞니 6개 치아에 대해 임상 검사,
방사선 검사, 치수 생활력 검사 등을
꼼꼼하게 시행하였습니다.
저희 병원의 치과 보존과 전문의 원장님과
협진으로 여러 검사결과를 분석하였는데,
하나의 치아는 완전히 부러져서 사용할 수 없었지만
다행히 다른 치아들은 관찰하고
지켜보는 것으로 치아를 보존할 수 있었습니다.


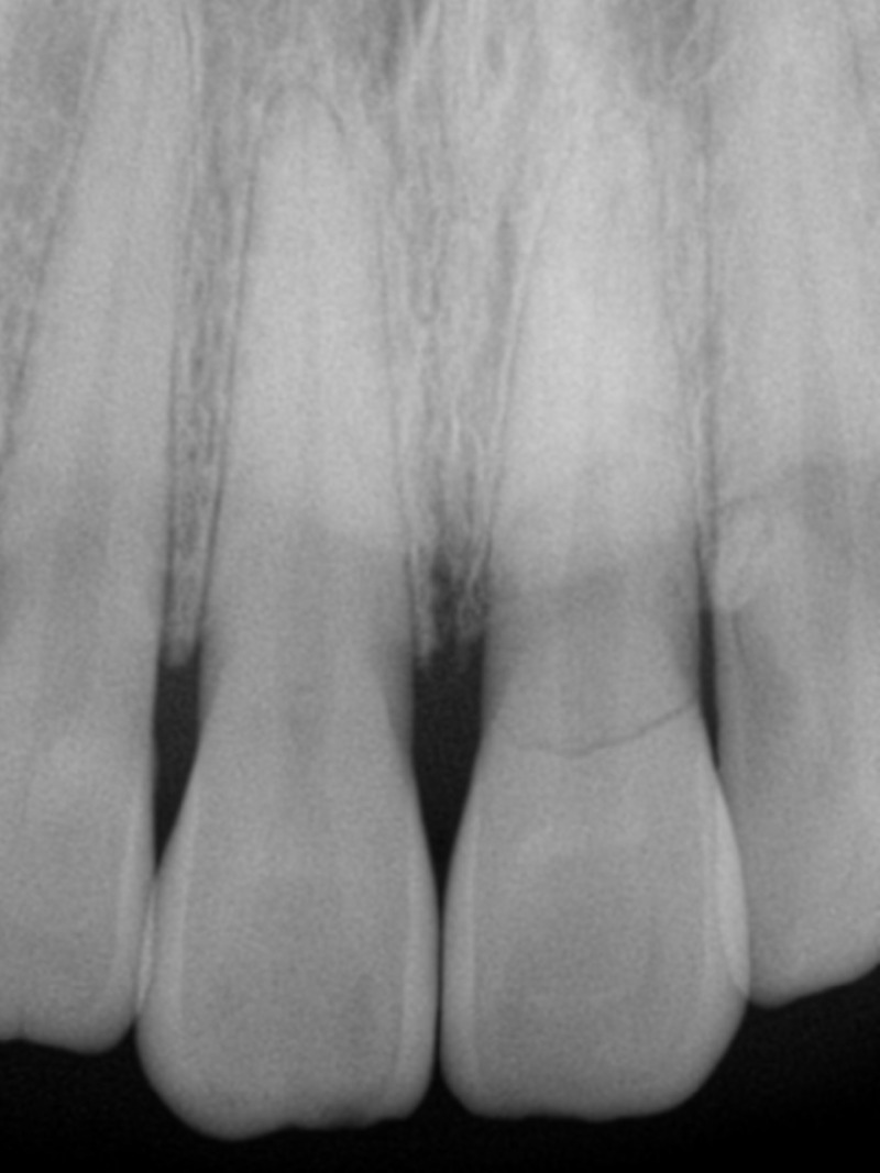
왼쪽 앞니는 뿌리 가까운 부분에서
완전히 부러졌습니다.
치아가 파절(부러짐)된 경우,
파절선(부러진 선)의 위치가 가장 중요합니다.
부러진 부분이 치아의 머리 끝 쪽에 가까울 수록
치아를 보존해서 쓸 수 있을 가능성이 높아지고
이 환자분의 경우처럼
잇몸보다 안 쪽의 뿌리에서 부러지는 경우는
치아를 보존하기가 어렵고,
어떻게든 시도해본다고 하더라도
치료의 예후가 좋지 않아
여러 번 고생하셔야 하는 경우가 많습니다.
환자분께 이와 같은 상황과
발치의 필요성을 잘 설명드렸고
경황이 없는 중에도
다행히 환자분이 잘 받아들이실 수 있었습니다.
치료 계획이 결정이 된 후,
"어떻게 하면 치료 과정에서
환자분이 조금이라도 더 힘들지 않으실까?" 를
고민하는 것은 전적으로 저희 의료진의 몫인데,
저는 다행히 그런 고민을 기꺼이,
심도있게 같이 해주는 전문가들인
치과기공사, 치과위생사 선생님들과
같이 일하고 있습니다.
발치 즉시 임플란트, 즉시 부하 임플란트
예전에는,
치아를 발치하고
3-6개월 기다린 후 임플란트를 심고,
임플란트가 굳어질 때까지 3-6개월 기다려야
임플란트 치아를 만들 수 있었습니다.
그래서 환자는 6개월-1년 간은
치아가 없는 상태로 지내야 했기 때문에,
고육지책으로 다음과 같은
임시 틀니를 사용할 수 밖에 없었습니다.

임시 틀니(flipper)
한창 활발히 사회생활을 하여야 할 때에
틀니를 사용해야 하는 불편함은
이루 말할 수 없을 것이며
뼈이식이 동반된 경우는
임시틀니가 뼈이식된 부분을 자꾸 누르게 되어
치료의 결과에도 안좋은 영향을 끼칠 수 있습니다.
이럴 때 긴 치료 기간과 치료 횟수,
틀니 사용의 불편함을 줄일 수 있는 좋은 방법으로,
"발치 즉시 임플란트"와
"즉시 부하 임플란트"가 있습니다.
"발치 즉시 임플란트" 는
발치와 동시에 임플란트를 심는 것이고,
"즉시 부하 임플란트" 는
임플란트를 심는 것과 동시에
임플란트 치아까지 만드는 것입니다.
엄밀히는 두 가지가 다르지만
"원데이 임플란트"라는 용어로
같이 쓰이기도 하는데,
환자분들이야 당연히 전문적인 내용을
다 아실 수는 없지만
원데이 임플란트가 마치 모든 경우에
가능한 것처럼 마케팅 수단으로 쓰이는 것은
안타깝기도 합니다.
원데이 임플란트는
수술의 난이도가 높고,
저희가 준비해야할 사항들이 많지만,
이런 환자분과 같은 경우에
정말 유용하게 쓰일 수 있는 방법이기에
좋은 치료 결과를 기대하며
즐거운(?) 마음으로 수술을 진행하였습니다.

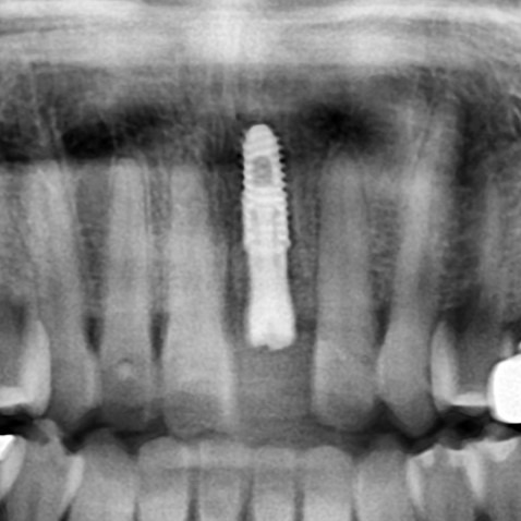
발치와 동시에 임플란트를 식립한 후 방사선사진
임플란트 수술이 잘 이루어지고 난 후에는
임플란트 치아를 만들기 위해
본 뜨는 작업(인상채득ㅇ)을 해야합니다.
저희 치과에서는
현존하는 최고의 구강스캐너 중 하나인
Trios 5를 사용하여
모든 케이스에서
디지털 임프레션
(Digital Impression, 디지털 인상 채득)을
진행하고 있습니다.
특히 이 케이스와 같이
수술 후 바로
인상채득(본뜨기)을 해야 하는 경우에는
이전에 사용하던 고무와 같은 재료는
상처부위를 자극할 수도 있고,
재료의 잔해가 상처부위 안으로 들어가면
염증의 원인이 될 수 있습니다.
따라서 수술부위에 접촉 없이 촬영만 하면 되는
구강스캐너가 특히 유리하다고 할 수 있습니다.
스캔한 데이터를 가지고,
병원 내의 디지털기공소에서 3D 프린터로
고정성 임시치아를 제작합니다.


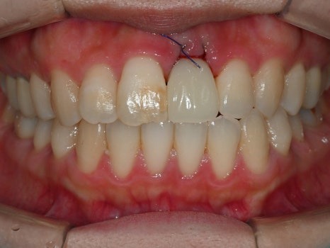
수술 당일 오후, 임시치아를 장착한 모습
수술 2-3시간 후 앞니 임플란트에
고정성 임시치아를 장착한 모습입니다.
수술 직후이기 때문에 봉합사(실)이 있지만,
임시치아임에도 주변 치아와 비교해서
이질감이 거의 없습니다.
틀니 형태가 아니기 때문에
식사 및 발음, 심미적인 기능에서
불편함은 거의 없다고 하셨습니다.
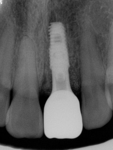
2개월 후, 마찬가지의 디지털 방식으로 스캔하고
제작한 최종 임플란트 치아를 장착할 수 있었습니다.


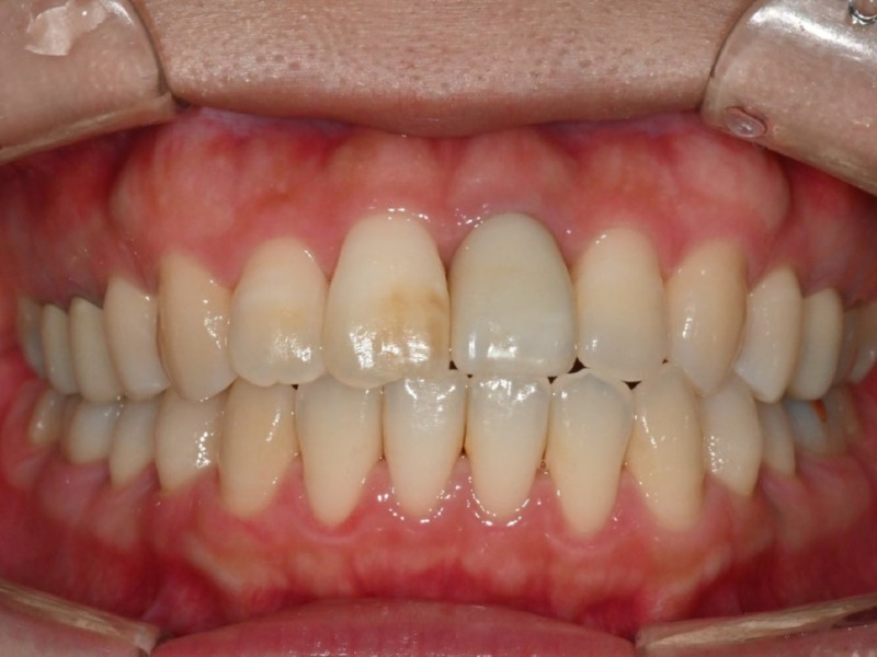
발치 및 즉시 임플란트 2개월 후
물론 순간의 사고로
이른 나이에 앞니를 빼게 된 것은
매우 속상한 일이셨지만,
이후의 치료 과정이 너무 순조롭고 편안해서
다행이라고 하셨습니다.
기존의 앞니가 약간의 변색이 있어서
오히려 마음에 들지 않았었는데
새로 제작한 앞니 임플란트 치아가 더 예뻐서
나머지 앞니를 바꾸고 싶다는 농담까지
하실 정도였습니다.
"어떻게 하면 치료 과정에서
환자분이 조금이라도 더 힘들지 않으실까?"
를 고민하고 연구하며 노력해온 저희가
뿌듯함을 느낄 수 있는 케이스였습니다.
| 번호 | 제목 | 글쓴이 | 날짜 | 조회 수 |
|---|---|---|---|---|
| 9 |
치과에서 절대 말해주지 않는다는 가성비 치료, 잇몸치료
| admin | 2026.01.19 | 12 |
| 8 |
성공적인 임플란트 치료를 위한 수술 후 주의사항
| admin | 2026.01.19 | 5 |
| 7 |
하루만에 임플란트 치료, 가능한가요?
| admin | 2026.01.19 | 8 |
| 6 |
90대도 전체 임플란트 재수술 가능한가요?
| admin | 2026.01.19 | 10 |
| » |
앞니가 부러졌어요, 임플란트 가능한가요?
| admin | 2026.01.19 | 8 |
| 4 |
임플란트 치료 기간, 어떻게 지내야하나요?
| admin | 2026.01.19 | 7 |
| 3 |
수면으로 충치 치료 하루에 가능한가요?
| admin | 2026.01.19 | 10 |
| 2 |
당뇨, 고혈압인데도 임플란트 가능한가요?
| admin | 2026.01.19 | 12 |
| 1 |
86세인데 임플란트 가능한가요?
| admin | 2026.01.19 | 2 |