안녕하세요.
서울하늘에치과 대표원장,
구강악안면외과 전문의 박민우입니다.
치과에서 가장 흔하게 이루어지는 치료 중 하나가
바로 충치치료입니다.
정기적인 검진을 통해 조기에 발견하고 치료한다면
비교적 간단히 마무리할 수 있지만,
실제 진료 현장에서는 치과에 대한 두려움으로
치료 시기를 놓치는 경우를 자주 마주하게 됩니다.
“아직 참을 만해서요.”
“아프긴 한데 치과가 너무 무서워서요.”
이처럼 통증보다
치과 치료 자체에 대한 공포감이
더 큰 이유로
충치가 상당히 진행된 이후에
내원하시는 분들도 적지 않습니다.
치과 공포증, 충치치료를 미루는 가장 큰 이유
치과 치료에 대한 공포는
단순히 ‘아플 것 같다’는 걱정을 넘어
소리, 냄새, 주사, 과거의 불편한 경험 등
다양한 요소가 복합적으로 작용합니다.
충치가 있다는 사실을 알고 있음에도
치료를 미루다 보면
· 충치 범위가 깊어지고
· 신경치료나 크라운 치료로 이어질 가능성이 높아지며
· 경우에 따라 발치까지 필요해질 수 있습니다.
이러한 악순환을 줄이기 위해
서울하늘에치과에서는
임플란트 수술이나 사랑니 발치뿐 아니라
충치치료 역시
수면치료(의식하 진정요법)로 진행하고 있습니다.
치과에서 시행하는 수면치료란?

치과에서 말하는 수면치료는
의학적으로 의식하 진정요법이라고 합니다.
이는 전신마취와는 다르며,
정맥을 통해 진정제를 투여해
얕은 잠을 자는 듯한 가수면 상태에서
치과 치료를 받을 수 있도록 돕는 방법입니다.
· 스스로 호흡이 유지되는 상태
· 의료진의 지시에 반응 가능
· 치료 중 불안·공포·통증 기억이 감소
이러한 특징으로 인해
치과 공포증이 심한 분들도
비교적 안정된 상태에서 치료를 받을 수 있습니다.
충치치료도 수면으로 진행할 수 있습니다
많은 분들이
“수면치료는 임플란트나
큰 수술에서만 하는 것 아닌가요?”
라고 질문하시지만,
실제로는
✔ 다수의 충치치료
✔ 깊은 충치로 인한 크라운 치료
✔ 충치치료와 사랑니 발치를 동시에 진행해야 하는 경우
에도 수면치료가 도움이 될 수 있습니다.
수면치료를 통해
· 치료 중 긴장과 공포를 완화하고
· 장시간 치료도 한 번에 진행할 수 있으며
· 치료에 대한 부담 자체를 줄일 수 있습니다.
의식하 진정요법, 안전한가요?
수면치료를 고려하실 때
가장 많이 걱정하시는 부분이
바로 안전성입니다.
의식하 진정요법은
전신마취에 비해 후유증과 부작용 가능성이 낮고,
환자분이 자발적으로 호흡을
유지하는 상태에서 진행되는 치료입니다.
서울하늘에치과에서는
· 치료 전 전신 건강 상태 확인
· 치료 중 산소포화도, 맥박, 호흡 등
바이탈 사인 실시간 모니터링
· 단독 수면진료 공간 운영
을 통해 안전성을 최우선으로 관리하고 있습니다.
서울하늘에치과 수면 충치치료 진행 과정

- 정밀 진단
파노라마 X-ray 촬영을 기본으로 하며,
필요 시 CT 촬영을 통해
충치 범위와 주변 구조를 정확히 파악합니다.


치료 전
- 치료 계획 수립 및 상담
치료가 필요한 치아와 치료 범위를 명확히 설명드리고,
수면치료 시 전신 건강 상태를 꼼꼼히 확인한 후
비용, 일정, 치료 순서를 충분히 안내드립니다.


- 수면 충치치료 진행
단독 룸에서 수면치료를 시행하며,
치료 전 과정에서 환자 상태를 실시간으로 모니터링합니다.
수면 충치치료 실제 케이스
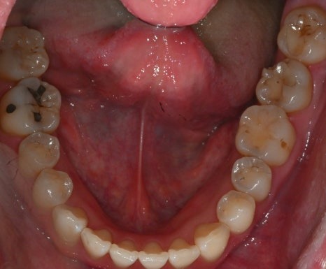
치료 전

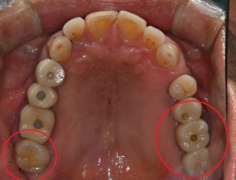
치료 후

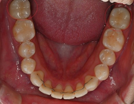
치료 전

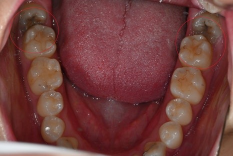
치료 후
· 60대 남성 환자
기존 보철물 주변 충치와 다수의 어금니 손상으로 내원
→ 수면치료를 통해 하루에
충치치료와 임플란트 수술까지 병행
크라운 치료 전

크라운 치료 후
· 20대 여성 환자
치과 공포증으로 치료를 미루다 충치 진행
→ 수면으로 양측 어금니 크라운 치료 및
매복 사랑니 발치 동시 진행
두 분 모두
“치료를 받는 동안 거의 기억이 없었다”,
“왜 진작 치료를 받지 않았을까”라는
말씀을 남겨주셨습니다.
충치는 ‘필요한 만큼만’ 치료합니다
모든 충치가 반드시 치료 대상은 아닙니다.
서울하늘에치과는
✔ 반드시 치료가 필요한 치아
✔ 경과 관찰이 가능한 치아를 구분하여
과잉진료 없이 필요한 치료만 진행합니다.
치과가 두려워 치료를 미뤄왔다면
충치치료는 미룰수록
치료 범위와 부담이 커질 가능성이 높습니다.
치과 공포증으로 치료가 어려우셨다면,
수면 충치치료는 충분히 고려해볼 수 있는 선택지입니다.

서울하늘에치과는
구강악안면외과 전문의가 상주하며
안전한 수면진료 시스템을 기반으로
환자분이 보다 편안하게
치료받을 수 있도록 돕고 있습니다.
궁금한 점이 있으시다면
언제든 문의 주시기 바랍니다
| 번호 | 제목 | 글쓴이 | 날짜 | 조회 수 |
|---|---|---|---|---|
| 9 |
치과에서 절대 말해주지 않는다는 가성비 치료, 잇몸치료
| admin | 2026.01.19 | 12 |
| 8 |
성공적인 임플란트 치료를 위한 수술 후 주의사항
| admin | 2026.01.19 | 5 |
| 7 |
하루만에 임플란트 치료, 가능한가요?
| admin | 2026.01.19 | 8 |
| 6 |
90대도 전체 임플란트 재수술 가능한가요?
| admin | 2026.01.19 | 10 |
| 5 |
앞니가 부러졌어요, 임플란트 가능한가요?
| admin | 2026.01.19 | 8 |
| 4 |
임플란트 치료 기간, 어떻게 지내야하나요?
| admin | 2026.01.19 | 7 |
| » |
수면으로 충치 치료 하루에 가능한가요?
| admin | 2026.01.19 | 10 |
| 2 |
당뇨, 고혈압인데도 임플란트 가능한가요?
| admin | 2026.01.19 | 12 |
| 1 |
86세인데 임플란트 가능한가요?
| admin | 2026.01.19 | 2 |