안녕하세요.
서울하늘에치과 원장 박민우 입니다.
저희 병원은 치료 받으신 환자분들이
소개해주셔서 새로 오시는 환자분들이
많은 편입니다.
감사하게도 너무 좋은 마음으로
큰 칭찬과 함께 소개해주셔서
또 더 큰 기대를 갖고 오시는 분도 많구요.
좋은 치료 결과, 안 아픈 치료는 물론,
치료 기간, 비용, 수술 시간 등
다양한 기대를 갖고 오시는데요.
소개해주신 환자분에 대한 감사한 마음으로
이러한 기대에 부응하고자
최선을 다해 노력하고 있습니다.

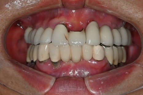
치료 전

치료 후
위와 같이 앞니 임플란트 치료를
잘 마친 환자분께서
외국에서 오는 친척분께
저희 치과를 알려주셨습니다.
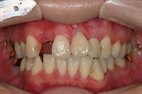
위 환자분은 부러진 앞니를
발치하고 임플란트를 즉시 식립했으며
디지털 방식으로 제작한
임시치아를 당일에 끼워드렸던 분으로,

당일 제작한 디지털 임시치아
전체 치료기간이 2개월이 채 걸리지 않아
매우 만족하시고
많은 분들을 소개해주신 분이었습니다.
친척분은 무려 중동의 두바이에서 오시는 분이었는데,
한국의 치과 치료에 대한 기대가 매우 크셨습니다.
앞니 하나를 빼고 몇달 간 지내셨는데
젊은 여성 환자분이어서
외출하고 다른 사람 만날 엄두를 내지 못할 정도로
불편했다고 하셨습니다.

하지만 환자분이 한국에 머무시는 기간이
3주밖에 되지 않는다는 점이
가장 큰 걸림돌이었습니다.
소개해주신 환자분처럼 임시치아라도
원데이 임플란트로 할 수 있으면 좋겠다고 오셨기에
환자분의 기대에 부응하기 위해
최선을 다해보자고 다시 한 번 다짐합니다.
짧은 기간에 임플란트 치료를 완료하기 위해서는
잇몸 뼈 상태를 정밀히 파악하고
정확한 위치에 임플란트를 식립하는 것이 중요합니다.
두 번이라는 기회는 없을 뿐더러
가장 좋은 위치에 임플란트를 식립해야
빠른 골 유착 반응으로
빠른 치료를 완료할 수 있기 때문입니다.
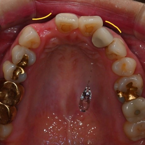
치아를 발치하고 나면
잇몸뼈가 빠른 속도로 위축되기 때문에
왼쪽 사진처럼 잇몸이
오목한 모양이 되어
심미적이지 못하게 될 뿐더러
음식물이 낄 수도 있습니다.
반대편 같은 위치아 앞니 잇몸처럼
볼록한 모양이 되어야
보기에도 좋기 때문에
임플란트 식립과 더불어
골이식도 동시에 진행하기로 합니다.
귀국하시자마자 수술 일정을 잡으셨고
계획대로 임플란트를 식립하였습니다.
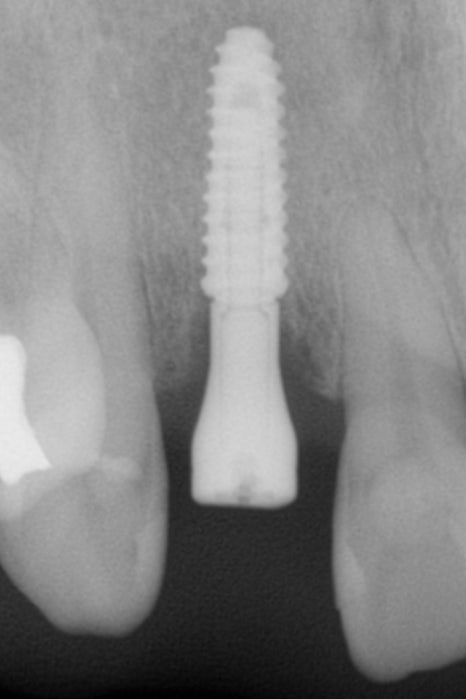
임플란트 식립 후
왼쪽의 임플란트 식립 직후
방사선 영상 검사에서
아주 적절한 위치와 이상적인 방향으로
임플란트가 식립되었음을 알 수 있습니다.
임플란트 식립 수술만큼이나
임플란트 재료도 중요하지 않을 수 없습니다.
임플란트와 뼈가 붙는 '골유착'을
더 빠르고, 튼튼하게 하기 위해
임플란트 표면에 자외선 처리를 한
UV 임플란트를 사용하였습니다.
[ 뼈에 잘 붙는 임플란트? 자외선 임플란트! : 네이버 블로그 ]

그리고 임플란트에 연결한 '스캔바디'라고 하는
작은 기구를 구강스캐너로 촬영하여
임플란트의 위치를 3차원적으로 파악한 후,
이에 맞게 CAD/CAM 디지털 머신으로
단단한 플라스틱의 임시치아를 제작합니다.
구강스캐너로 촬영하기 때문에
훨씬 빠르고 불편함이 거의 없음은 물론,
고무 등의 재료가 상처를 자극할 일이 없어서
수술 후 상처가 빨리 안정될 수 있습니다.
[ 서울하늘에 치과의 치아본뜨기시스템(3D구강스캐.. : 네이버블로그 ]
수술 1주일 뒤에 실밥 제거를 하였고,
수술 2주일 뒤에 임플란트가 뼈와 잘 굳었는지
"Ostell ISQ"라는 장비를 활용해
정확히 측정할 수 있었습니다.


과거에는 임플란트가 뼈와 잘 굳었는지
정확한 상태를 측정하기 어려웠고,
그저 충분한 시간을 기다리면서
잘 굳었겠거니 짐작하는 것이 전부였기에
혹시라도 잘 굳어지지 않았을 때
한참뒤에야 알게 되거나
충분히 굳었는데도
임플란트 보철물을 해넣지 못하고
치료가 지연되기도 하였습니다.
Osstell 사의 ISQ 장비는
임플란트의 진동 주파수를 분석하여
임플란트의 골 유착 정도를
과학적으로 측정할 수 있습니다.
과학적, 합리적, 환자 중심의 진료를 추구하는
저희 치과에서 쓰지 않을 이유가 없겠죠.
2주의 기간이면
아무리 좋은 임플란트라고 하더라도
완전한 골유착이 일어났다고 하긴 어렵습니다.
다만 골유착이 정상적으로 진행되고 있고,
환자분이 출국하시는 3주까지는
더 충분한 골유착이 진행될 수 있겠다고
추론할 수 있었습니다.
그래서 다시 정확한 구강 스캔을 통해
수술 2주 후 달라진 잇몸 상태까지
반영할 수 있는 자료를 채득한 후,
보철물을 제작하였습니다.

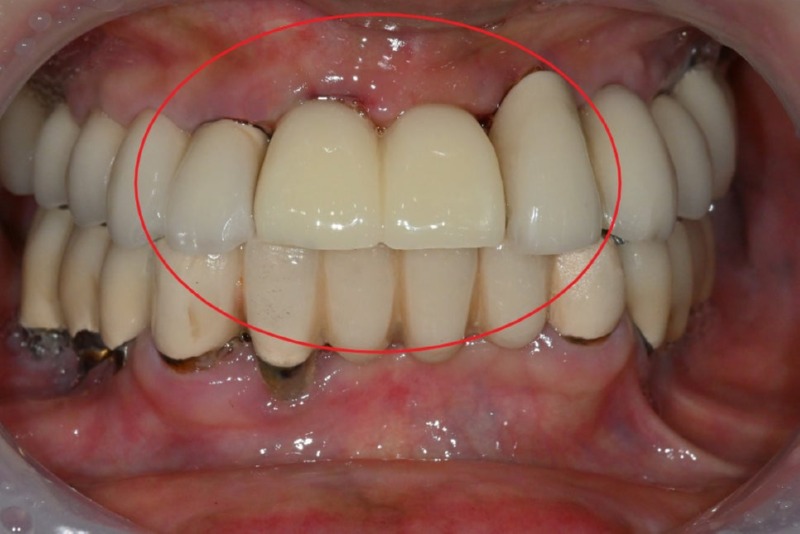
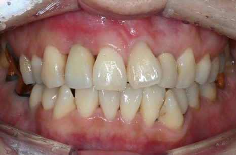
치료 전

수술 3주 후
수술 후 단 3주만에,
앞니 임플란트 보철물까지 장착하였고,
환자분은 어떠한 불편함도 없다고 하셨습니다.
단 3주의 기간에 임플란트 치료가
완료되길 원하시는 환자분의 기대를
단순히 과도하고 헛된 기대로 치부하지만은 않았습니다.
과학적이고 체계적인
최신의 기술과 방법들을 다하여서
환자분이 가장 좋은 치료를 받으실 수 있게
해드렸다는 뿌듯함에
저희가 환자분께 감사한 마음을 느끼기도 했습니다.
환자분께서는 K-임플란트치료에 대해
아주 만족하셨고,
3주 만에 예쁜 앞니가 생겨
행복하게 웃는 얼굴로 출국하시며,
한국에 오시게 되면
정기검진을 위해 즐거운 마음으로
저희 치과에 꼭 들러주실 것을
약속해주셨습니다.
환자분과의 약속을 지키기 위해
최선을 다해 최고의 진료를 연구하는
서울하늘에치과
박민우 대표원장이었습니다.
감사합니다.
| 번호 | 제목 | 글쓴이 | 날짜 | 조회 수 |
|---|---|---|---|---|
| 9 |
치과에서 절대 말해주지 않는다는 가성비 치료, 잇몸치료
| admin | 2026.01.19 | 12 |
| 8 |
성공적인 임플란트 치료를 위한 수술 후 주의사항
| admin | 2026.01.19 | 5 |
| » |
하루만에 임플란트 치료, 가능한가요?
| admin | 2026.01.19 | 8 |
| 6 |
90대도 전체 임플란트 재수술 가능한가요?
| admin | 2026.01.19 | 10 |
| 5 |
앞니가 부러졌어요, 임플란트 가능한가요?
| admin | 2026.01.19 | 8 |
| 4 |
임플란트 치료 기간, 어떻게 지내야하나요?
| admin | 2026.01.19 | 7 |
| 3 |
수면으로 충치 치료 하루에 가능한가요?
| admin | 2026.01.19 | 10 |
| 2 |
당뇨, 고혈압인데도 임플란트 가능한가요?
| admin | 2026.01.19 | 12 |
| 1 |
86세인데 임플란트 가능한가요?
| admin | 2026.01.19 | 2 |