안녕하세요.
서울하늘에치과 대표원장
박민우 입니다.
'처서가 지나면 모기도 입이 비뚤어진다'
는 처서(處暑)를 지나고
날씨가 한결 시원해졌습니다.
지구 온난화와 이상기후로
끝나지 않을 것 같던 무더위였는데,
선조들의 오랜 경험과 지혜가
틀리지 않음에 새삼 놀랍니다.
오늘은 이와 같은 오랜 경험과 지혜로
100년 가까이 가족들에게 힘이 되어주신
환자분의 케이스를 보려고 합니다.
"이제 90세인데,
다른치과에서 임플란트 실패까지 했어요.
틀니는 사용할 수가 없어요."

만 90세의 어르신께서
위 턱 전체 치아가 없어서
식사가 힘들다며 내원하셨습니다.
아래 턱에는 치아가 남아있거나
임플란트로 회복된 부분이 있었지만,
위 턱은 앞니는 뿌리만 남았고
다른 치과에서 어금니 임플란트 실패까지
겪으시며 마음 고생이 많이
심한 상황이셨습니다.
임플란트 치료에 나이 제한은 없지만
고령이실 수록 기저질환을
(혈압, 당뇨, 심혈관계, 뇌혈관계 등)
가지고 계실 확률이 높아
의료진이 더 신경써야 할 부분이 많고,
골 대사 반응이 원활하지 않을 수 있기에
임플란트 치료 시 변수가 있는 것도 사실입니다.
다만 그렇다 해도
임플란트가 한 번 실패하였다고
다시 시도해보지도 못하고
치아가 하나도 없이
이전 치과로부터 방치되어 계신
어르신을 뵈니 마음이 아팠습니다.
꼭꼭 씹는 즐거움을 꼭 다시 찾아드리고 싶다는
간절한 마음과 위험성을 최소한으로 할 수 있는
최소한의 수술과 최적의 치료를 목표로
치료 계획을 수립하였습니다.

수술 전 CT 영상을 분석한 결과
위 파노라마 사진에 빨간 표시된 부분은
치조골(잇몸뼈)이 오랜 시간 너무 퇴축되어서
임플란트 식립이 불가능했습니다.
광범위한 뼈 이식 수술은
환자분의 체력과 여건 상 힘들었기에
파란 표시된 부분에만 임플란트를 식립하여
최소한의 수술로 최적의 결과를
낼 수 있도록 고민하였습니다.
임플란트는 추가로 4개만 식립하여
비용과 시간, 위험성, 부작용 등을
모두 감소시키기로 하였고,

고령이신 환자분을 고려해서
4개의 임플란트를 식립하는데
15분이 채 걸리지 않습니다.
이럴 때 구강외과를 전공했다는 사실을
참 감사하게 생각합니다.
2개월 후,
잘 굳어진 임플란트 뿌리에
보철물을 만들기 위해
구강 내 스캔을 진행하였습니다.
예전에는,
혹은 지금도 많은 치과들은
'인상재'라고 하는
찰흙과 같은 고무로
본 뜨는 작업을 하였지만

환자분들, 특히
고령이신 분들은
여간 힘든 작업이 아닐 수 없고
작업자에 따른 차이와
재료 자체의 변형 등
정확도에도 차이가 있었습니다.
구강 내 스캔은
촬영으로 이러한 본뜨기를
정확도 높게 할 수 있고,
인상재에서 느껴지는
불편함은 거의 없다고 할 수 있습니다.
병원내에 있는
디지털 기공센터에서
CAD/CAM 밀링기계를 이용하여
치아를 제작하였고,
전체 임플란트 임에도
정확하게 잘 맞아서
아주 만족해하셨습니다.


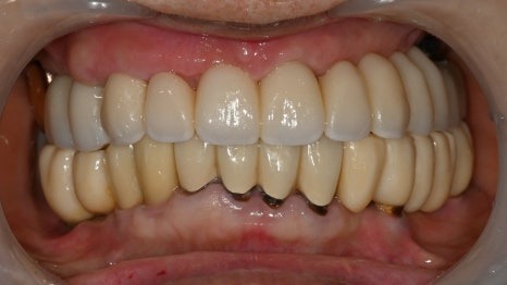
수술 후 2개월, 최종치아 장착
걱정하셨던 것보다 훨씬
수월한 치료 과정과
짧은 치료 기간으로
너무 만족해하셨던 케이스입니다.
6개월 후 정기검진으로 오셨을 때
사실은 마른 오징어를 너무 좋아하시는데
치료 후 마음껏 드실 수 있어서
너무 행복하다고 하셨습니다.


치과에서 마른 오징어는
금지 음식의 대표적인 예로 들지만
어르신에게 만큼은 그렇게
말씀드리지 못하고
"마음껏 드세요. "
"치아는 저희가 끝까지 책임지겠습니다."
라고 할 수 밖에 없었습니다.
끝까지 책임지는 치과, 치과의사
서울하늘에치과 대표원장 박민우였습니다.
| 번호 | 제목 | 글쓴이 | 날짜 | 조회 수 |
|---|---|---|---|---|
| 9 |
치과에서 절대 말해주지 않는다는 가성비 치료, 잇몸치료
| admin | 2026.01.19 | 12 |
| 8 |
성공적인 임플란트 치료를 위한 수술 후 주의사항
| admin | 2026.01.19 | 5 |
| 7 |
하루만에 임플란트 치료, 가능한가요?
| admin | 2026.01.19 | 8 |
| » |
90대도 전체 임플란트 재수술 가능한가요?
| admin | 2026.01.19 | 10 |
| 5 |
앞니가 부러졌어요, 임플란트 가능한가요?
| admin | 2026.01.19 | 8 |
| 4 |
임플란트 치료 기간, 어떻게 지내야하나요?
| admin | 2026.01.19 | 7 |
| 3 |
수면으로 충치 치료 하루에 가능한가요?
| admin | 2026.01.19 | 10 |
| 2 |
당뇨, 고혈압인데도 임플란트 가능한가요?
| admin | 2026.01.19 | 12 |
| 1 |
86세인데 임플란트 가능한가요?
| admin | 2026.01.19 | 2 |